Απεικόνιση στον καρκίνο του προστάτη (Prostate cancer imaging)
Ο καρκίνος του προστάτη είναι η πιο συχνά διαγνωσμένη κακοήθεια στους άνδρες παγκοσμίως. Ευτυχώς, οι περισσότεροι καρκίνοι του προστάτη τείνουν να αναπτύσσονται αργά και είναι χαμηλού βαθμού επιθετικότητας.
Στα αρχικά στάδια ο καρκίνος του προστάτη είναι συνήθως ασυμπτωματικός και δεν γίνεται άμεσα αντιληπτός. Σε πιο προχωρημένα στάδια μπορεί να παρατηρηθεί δυσκολία στην ούρηση, αίμα στα ούρα ή το σπέρμα, πόνος στα οστά καθώς και απώλεια βάρους και κόπωση.
Η διάγνωση βασίζεται κυρίως στον έλεγχο του ειδικού προστατικού αντιγόνου (PSA) και στις βιοψίες προστάτη (αν και ο ρόλος PSA στον προσυμπτωματικό έλεγχο παραμένει αμφιλεγόμενος).
Το υπερηχογράφημα και η μαγνητική τομογραφία είναι οι κύριες μέθοδοι απεικόνισης που χρησιμοποιούνται για τη διάγνωση του καρκίνου του προστάτη.

Απεικόνιση στον καρκίνο του προστάτη (Prostate cancer imaging)
Σκοπός της απεικόνισης του προστάτη
- Έγκαιρη ανίχνευση: η μαγνητική τομογραφία βοηθά στην έγκαιρη ανίχνευση πιθανών σημαντικών καρκίνων
- Διάγνωση: βοηθά στη διαφοροποίηση μεταξύ καλοήθων καταστάσεων, όπως ο υπερτροφικός προστάτης, και κακοήθων καταστάσεων.
- Σταδιοποίηση: χρησιμοποιείται για την εκτίμηση της έκτασης του καρκίνου.
- Καθοδήγηση βιοψίας: Οι βιοψίες καθοδηγούμενες με μαγνητική τομογραφία επιτρέπουν την ακριβέστερη στόχευση ύποπτων περιοχών.
- Σχεδιασμός θεραπείας: οι εικόνες καθοδηγούν τον σχεδιασμό της θεραπείας, ιδιαίτερα για την ακτινοθεραπεία.
- Παρακολούθηση: χρησιμοποιείται για να εκτιμηθεί εάν η νόσος έχει επανέλθει μετά τη θεραπεία.
Το διορθικό υπερηχογράφημα του προστάτη (TRUS, Transrectal ultrasonography) είναι μια διαγνωστική εξέταση για την απεικόνιση του προστάτη αδένα και των γύρω περιοχών.
Η εξέταση αυτή παρέχει ακριβείς πληροφορίες για το μέγεθος και τη δομή του αδένα, την ύπαρξη φλεγμονών, υπερτροφίας ή «ύποπτων» περιοχών που μπορεί να υποδεικνύουν καρκίνο. Χρησιμοποιείται και ως οδηγός για βιοψία προστάτη. Κατά τη διάρκεια των βιοψιών προστάτη, το διορθικό υπερηχογράφημα μπορεί να ανιχνεύσει μια δυνητικά ύποπτη υπόηχη περιοχή. Το υπερηχογράφημα όμως από μόνο του δεν αποτελεί αξιόπιστη διαγνωστική εξέταση για κακοήθεια του προστάτη.
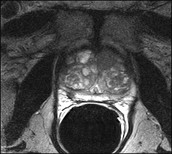
Η μαγνητική τομογραφία του προστάτη (mpΜRI, multiparametric magnetic resonance image) έχει πολύ καλύτερη ανάλυση μαλακών ιστών από το υπερηχογράφημα. Μπορεί να εντοπίσει περιοχές στον αδένα που είναι πραγματικά ύποπτες με υψηλό βαθμό ακρίβειας και αξιοπιστίας (θετική προγνωστική αξία μεγαλύτερη από 90%).
Η mpMRI χρησιμοποιείται επίσης για χειρουργικό σχεδιασμό σε άνδρες που εξετάζουν το ενδεχόμενο ριζικής προστατεκτομής.
Η πολυπαραμετρική μαγνητική τομογραφία του προστάτη έχει αποδειχθεί διεθνώς, σημαντική τόσο στη διάγνωση όσο και στην παρακολούθηση ασθενών με καρκίνο του προστάτη.
Μελέτες σε μεγάλα συστήματα υγείας του εξωτερικού έχουν αναδείξει την αξία της μεθόδου στον προληπτικό έλεγχο των ασθενών, στο λεγόμενο screening και τη διαστρωμάτωση κινδύνου, μειώνοντας το ποσοστό υπερδιάγνωσης κατά 72,6% και του αριθμού των απαιτούμενων βιοψιών κατά 53,5%.











